A stained smile can tank anyone’s self-confidence. That doesn’t mean it has to stay that way. If you don’t like the way your teeth look, consider changing them sooner rather than later. Professional teeth whitening can make you look healthier, more confident, and happier with how much it can brighten up your smile. LaserGlow Spa’s in-office teeth whitening is administered by a licensed dental hygienist and will transform a stained smile into a white, brilliant smile. In just 40 minutes, you’ll notice your smile is at least three shades brighter, if not more!
Anyone can benefit from brighter teeth. The impact is amazing, making you feel more confident and healthier. Teeth whitening works to clear natural teeth from the surface and subsurface stains from eating, drinking, or smoking. Professional teeth whitening can help even the most prolific of coffee drinkers with a beaming smile after several treatments.
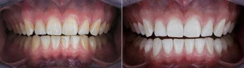
In-Office Teeth Whitening For A Brighter Smile!
In-office teeth whitening is strongly recommended for those who need a product stronger than a teeth whitening kit. If you want a radiant smile, our in-office teeth whitening uses a safe 38% peroxide solution to whiten and remove stains. Laserglowspa’s licensed dental hygienist will guide you through the appointment and administer the teeth whitening solution, as well as give you recommendations for follow-up and products to achieve your desired shade of a smile.
Patients with complex dental conditions and concerns can purchase a full evaluation by one of our licensed dental hygienists prior to their in-office teeth whitening appointment to address concerns unique to them. Gingiva health and teeth structure will be evaluated, and treatment options for teeth whitening, restoration, and oral surgery can be discussed.
Advanced Formula Teeth Whitening Kits
If visiting us for an in-office teeth whitening doesn’t fit your schedule right now, our teeth whitening kits are still a great option for at-home use. While the results will take longer than an in-office teeth whitening, teeth whitening kits offer the flexibility of whitening your teeth from the comfort of your own house. In just two days of treatment, your teeth can quickly become brighter. Our advanced formula used in our teeth whitening kits is developed by licensed dental hygienists to whiten sensitive teeth with no irritation.
Teeth whitening kits are also affordable and convenient. Our teeth whitening kits use a revolutionary system of lights in different colors and frequencies and a mild peroxide solution to whiten and reduce sensitivity all from the comfort of your home. The mouthguard is also reusable, so purchasing refills is easy.
Dental Hygiene
In between professional teeth whitening appointments, you may also want to pick up our specially formulated whitening toothpaste to fight off bad breath and teeth stains.
Whether you need a touch-up or want to brighten your smile for the first time, LaserGlow Spa offers professional teeth whitening solutions to help. Book with us today! We’re in your area.








