Discover the transformative power of LaserGlow’s teeth whitening products through the real stories of our customers. From subtle enhancements to dramatic changes, these before and after testimonials showcase not just the effectiveness of our products but also the confidence they bring.
The Power of a Brighter Smile
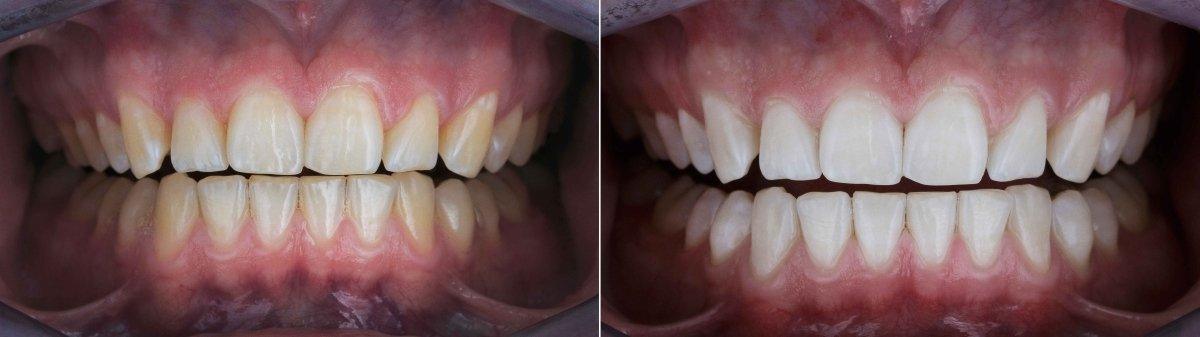
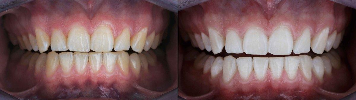
A bright, white smile can make a world of difference in someone’s confidence and how they are perceived by others. At LaserGlow, we’ve seen countless customers transform not just their teeth, but their self-esteem and personal outlook. This post features a series of before and after stories from real customers who have experienced significant changes through our range of hydrogen peroxide teeth whitening gels.
Customer Story #1: John's Journey to a Brighter Smile
John, a coffee lover, struggled with teeth discoloration for years. Frustrated with over-the-counter solutions that delivered minimal results, he turned to LaserGlow’s for an in-office teeth whitening treatment. The transformation was remarkable. His before and after photos show a smile that’s several shades brighter, bringing a newfound confidence to John’s demeanor.

Customer Story #2: Emma’s Wedding Day Smile
Emma wanted her smile to be perfect for her big day. With only a month to go, she came in for a 20 minute touch up session. The results were stunning, and her wedding photos are a testament to the efficacy of our products, showcasing a dazzling white smile that stood out beautifully on her special day.

The Science Behind the Results
Beyond the emotional stories, it’s the science of our products that underpins these transformations. Our gels are carefully formulated to provide maximum whitening with minimal sensitivity, suitable for a variety of needs from mild discoloration to deep stains.
How You Can Achieve Similar Results
Inspired by these stories? Achieving similar results is just a few clicks away. Visit our product page, choose the right concentration for your needs or stop by for an in-office treatment and start your journey to a brighter smile today.
Explore our range of products and read more customer testimonials at LaserGlow.
Every smile tells a story. With LaserGlow, make yours a story of transformation and joy. These customer testimonials are just a few examples of how effective our teeth whitening solutions can be. Whether you’re preparing for a special event or just want to brighten your everyday smile, we’re here to help.
Recommended Posts
Best Purple Toothpaste – LaserGlow Ranks #1 by Health.com
Professional Teeth Whitening Gel (25% Hydrogen Peroxide)
Does Purple Toothpaste Really Work?








